Phone: 505-293-9559  |  Fax: 505-293-9568

office@oppelfamilydentistry.com

Patient Portal

Semi-Annual Exams

 

  • Oral and Throat Cancer Screening
  • Take Probe Depths to Identify Periodontal Disease
  • Visual Examination for Cavities and Signs of Disease
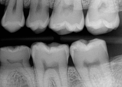
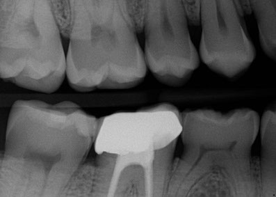
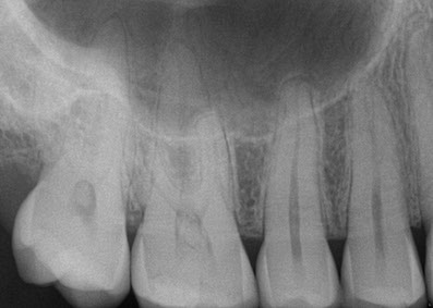
  • Diagnostic X-rays
  • Full-cleanings twice a year

 

Our Investments into the Future of Dentistry to Benefit Our Patients

SCHEDULE YOUR APPOINTMENT - CONTACT US BELOW

Submitting Form...

The server encountered an error.

Form received.